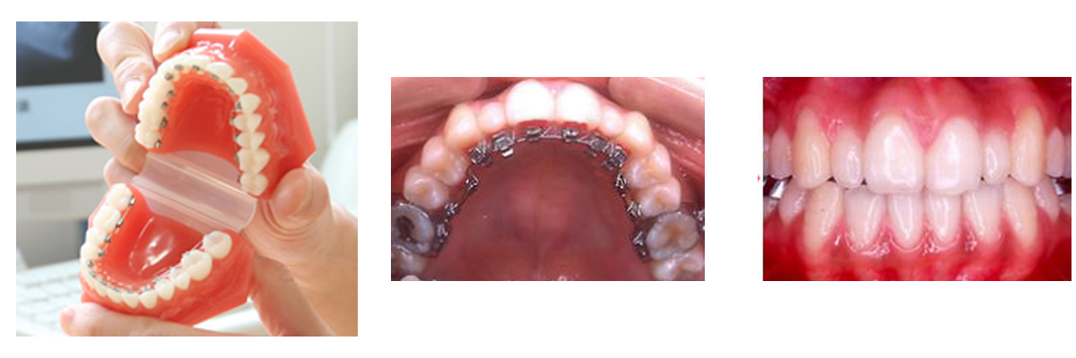
舌側矯正(リンガル矯正)治療は、矯正装置を歯の表側ではなく、歯の裏側につけて歯並びを矯正する治療法です。
歯の裏側に矯正装置をつけることで、周りの人に気づかれないうちに歯並びを矯正することができます。

歯の裏側に装置を付けて治療を行うので、周りの人にほとんど気づかれません。
舌側矯正は、通常の表側矯正と比較して設計上、前歯を後ろに引き込みやすくなっておりますので、特に前歯を下げたいという方には効果的な方法です。
個人差もありますが、装置は舌が当たりやすい場所にありますので食事や発音、ブラッシングなど装置になれるまでに少し期間がかかります。そのため装着時期を検討いただくこともあります。
装置は全てオーダーメイドで作製する必要があるため、治療費用が高額になります。また治療開始までに準備期間が1から2ヶ月ほど必要となります。
